
Вчені встановили, що удар блискавки залишає відбиток на кістках: фото
Дослідники з ПАР та Великої Британії дізналися, що удар блискавки залишає слід на кістках людини. Ба більше, вони продемонстрували, як він виглядає.
Від ударів блискавки щорічно помирають щонайменше 4500 людей. Але є випадки, коли люди виживали після важкого електричного удару.
Цікавий факт
Згідно з Книгою рекордів Гіннесса, рекордсменом з удару блискавки вважається американець Рой Клівленд Салліван, який працював інспектором з охорони національного парку Шенандоа у Вірджинії.
З 1942 по 1977 рік блискавка вдаряла в нього аж 7 разів, і він завжди залишався живим.
Що відбувається з тілом після удару блискавки
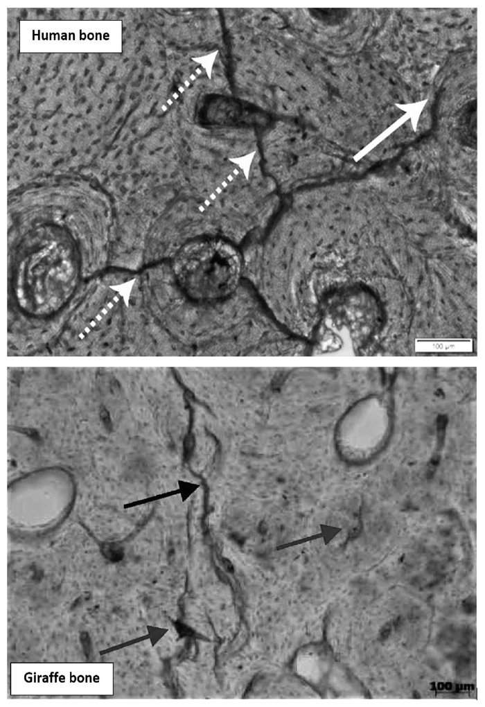
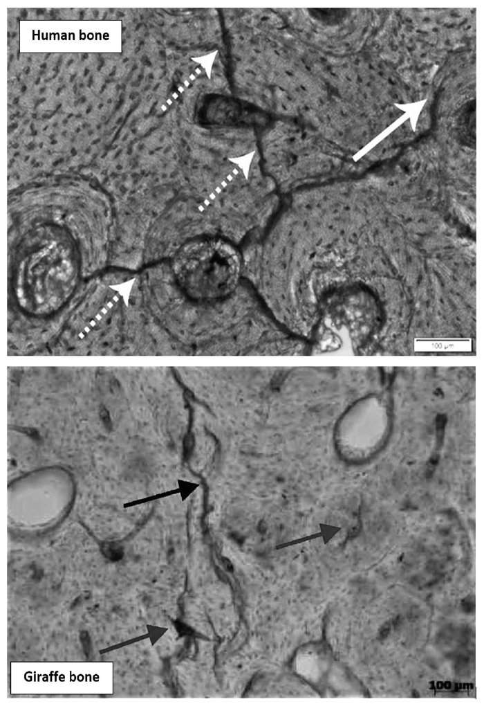
Коли блискавка влучає в тіло, на ньому можуть залишитися опіки або обпалитися волосся. Вчені з ПАР і Великої Британії вирішили дізнатися, які наслідки це має для кісток.
Наша робота – перше дослідження, яке показує унікальні маркери поразки блискавкою в людському скелеті й дозволяє нам розпізнавати цей слід,
– заявив перший автор статті, судовий антрополог Ніколас Баччі.
Раніше дослідники вже проводили подібні дослідження на тваринах. Вони вивчали такі ж маркери на останках жирафа, вбитого блискавкою, і кістках свиней (померлих з інших причин). Для цього вчені піддавали тіла останніх електричному розряду струмом, який імітує удар блискавки.
